Исследование: Жировая ткань в пожилом возрасте способствует заживлению ран и улучшению внешнего вида кожи

"24.03.2020"

Процесс заживления кожных ран, наиболее эффективный в молодости, может протекать гладко и в пожилом возрасте. Многое зависит от возраста человека, состояния кожи и наличия внутрикожного жирового слоя, что было продемонстрировано учеными ИРЗиБЖ ПАН в экспериментах на мышах.

Процесс заживления кожных ран, наиболее эффективный в молодости, может протекать гладко и в пожилом возрасте. Многое зависит от возраста человека, состояния кожи и наличия внутрикожного жирового слоя, что было продемонстрировано учеными ИРЗиБЖ ПАН в эк...
fot. materiały prasowe
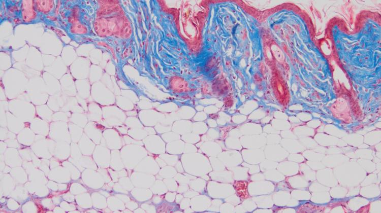
Кожа может зажить без рубца – путем регенерации, или со шрамом – тогда она подлежит репарации. Механизмы, от которых зависит процесс заживления кожи после травмы, анализируют исследователи Института репродукции животных и пищевых исследований Польской академии наук в Ольштыне. Об этих процессах они узнают благодаря исследованиям, проведенным на мышах. «В мире млекопитающих, в том числе и человека, безрубцовое (регенеративное) заживление повреждений кожи происходит только во внутриутробном периоде», — подчеркивает руководитель исследовательской группы проф. Барбара Гавроньска-Козак. Он добавляет, что во взрослом возрасте повреждения кожи заживают с образованием рубцов, «что является благом, поскольку позволяет быстро восстановить непрерывность поврежденной кожи и восстановить ее защитную функцию. Однако случаются и гипертрофические рубцы, которые могут быть проклятием, ограничивающим подвижность, уродующим и вообще затрудняющим жизнь." ". «Интересно, что в пожилом возрасте заживление повреждений кожи происходит медленнее, но с образованием гораздо меньшего и более нежного рубца. Мои предыдущие исследования, проведенные в США на мышах, однако, показали, что есть особи, которые заживляют кожу во взрослом возрасте травмы остаются без шрамов. Эти мыши «отличаются от других линий отсутствием гена Foxn1, который у мышей и людей присутствует только в двух областях: в тимусе и коже», - сообщает проф. Гавронская-Козак. Профессор и члены ее команды из ИРЗиБЖ ПАН заподозрили, что ген Foxn1 важен для формирования посттравматических рубцов на коже. Их исследования подтвердили это. Но затем, - сообщает профессор, - возник новый вопрос: "Изменяется ли экспрессия Foxn1 с возрастом или диетой? И влияют ли эти изменения на процесс заживления повреждений кожи, принимая во внимание различия в заживлении у плода, взрослых и пожилых людей?" ?" Чтобы проверить это, группа биологов провела исследование на мышах (так называемая мышиная модель) со сниженной экспрессией гена Foxn1 — а это значит, что в их организме вырабатывалось меньше белка, кодируемого этим геном. Результаты исследований сравнили. с результатами, полученными на контрольной группе животных. Использовали молодых мышей (4-5 месяцев) и старых, 2-летних мышей, возраст которых соответствует возрасту человека примерно 30 и старше 70 лет. Мышей кормили стандартной диетой или диетой с высоким содержанием жиров. В ходе исследования, которое длилось в общей сложности четыре года, специалисты проанализировали процесс заживления повреждений кожи у мышей. Они хотели проверить, как возраст, диета и пол влияют на состояние/гомеостаз неповрежденной кожи и процесс заживления? Во-вторых, влияют ли возрастные изменения экспрессии Foxn1 на процесс заживления. "Работа дала так много результатов, что она расширилась на два исследовательских направления", - подчеркивает проф. Гавронская-Козак. Экспериментаторы проверили, среди прочего: Влияние диеты на процесс выздоровления. «Исследования последних лет показали, что кожа – помимо хорошо известной подкожной жировой клетчатки – имеет еще внутридермальную жировую ткань, о которой мало что известно. Однако исследования показывают, что она участвует в терморегуляции, в иммунном ответе организма. кожу - и в заживлении ран", - пояснил эксперт. Проф. команда Гавроньска-Козак подтвердила, что возраст оказывает наиболее существенное влияние на состояние кожи. Однако сочетание двух параметров: возраста и пола, а затем – диеты – может изменить состояние кожи и процесс заживления кожных повреждений. Исследования показали, что с возрастом кожа становится тоньше, а кожа старых мышей, которые питались диетой с высоким содержанием жиров, что приводит к увеличению веса, имеет такую ​​же толщину, как и у молодых мышей. В их случае потеря толщины компенсируется ростом внутрикожного жирового слоя. «Интересно, что мы показали очень большие различия в потенциале выработки коллагена (основного структурного белка кожи — PAP) между женщинами и мужчинами. В то время как у мужчин наблюдается большой потенциал выработки коллагена в молодом возрасте, в пожилом возрасте он резко снижается». . У молодых женщин и старых потенциал выработки коллагена оказывается очень похожим. Похоже, возраст в их случае не так важен, как у мужчин», — говорит профессор. Быстрее всего процесс заживления повреждений кожи происходит у молодых и стройных мышей (наиболее быстрая регенерация эпидермиса). У молодых людей, страдающих ожирением, этот процесс происходит медленнее. Аналогичным образом он замедляется и у старых мышей — независимо от того, были ли особи толстыми или стройными. Удивительно, однако, что у старых мышей размер и толщина рубца были намного меньше. пресс-материалы «Наши исследования механизма регуляции внутрикожной ткани показывают, что в этой регуляции участвует ген Foxn1, который может влиять на состояние кожи и процесс заживления травм», — подчеркнул профессор. Гавронская-Козак. По его словам, экспрессия гена Foxn1 является самой высокой среди взрослых, поэтому у них заживают рубцы. Однако он отсутствует у плодов, у которых заживление происходит без рубцов (регенерация). Экспрессия этого гена самая низкая у пожилых людей (снижение образования посттравматических рубцов). «Подводя итог, можно сказать, что состояние кожи и процесс заживления наиболее эффективны у молодых мышей», — говорит профессор. - «У старых мышей обоснованное увеличение массы тела - в сочетании с увеличением внутрикожной жировой ткани - положительно влияет на внешний вид и функции кожи. Особенно это заметно у самок. Состояние кожи, изменчивость в течение Процесс старения, регуляция наличия внутрикожного жирового слоя, а также способ заживления - они, в том числе, регулируются геном Foxn1", - пояснила она. пресс-материалы Результаты исследований на мышах могут помочь объяснить наблюдения на людях. "Подводя итоги этих исследований, я хотел бы сказать: быть пожилой, приятно пушистой женщиной имеет свои преимущества", - говорит профессор. Гавронская-Козак. В ее команду входят Марта Копцевич, Катажина Валенджик, доктор Иоанна Буковска, доктор Анна Кур-Пиотровска и Сильвия Мачиньска. Результаты их исследований были опубликованы в двух научных журналах: «Journal of Investigative Dermatology» и «Aging US». PAP - Наука в Польше, Агнешка Либудская Али / Зан /